CHIRURGIE VASCULAIRE
LES ANÉVRISMES DE L’AORTE ABDOMINALE
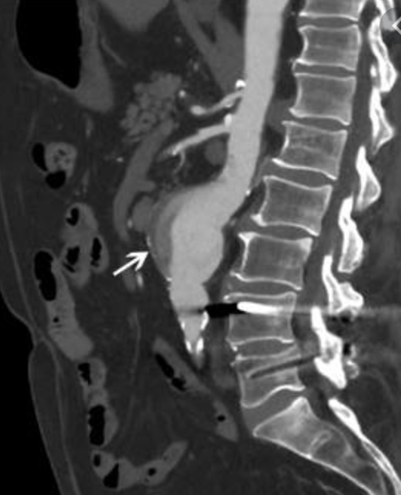
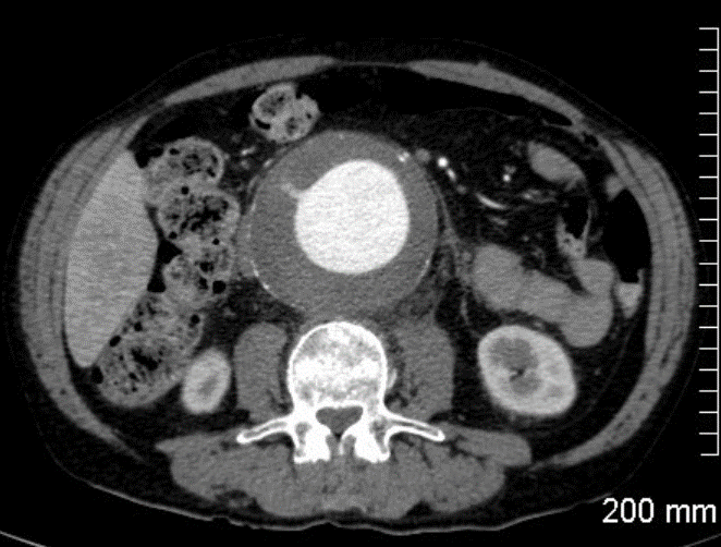
Les anévrismes de l’aorte abdominale (AAA) sont une dilatation excessive et pathologique de l’aorte dont le principal risque est la rupture. Le diamètre normal d’une aorte abdominale se situe entre 15 mm et 25 mm suivant le sexe et l’âge du patient.
Ha
bituellement, les patients porteurs d’un anévrisme ne présentent aucun symptôme. Cet AAA est découvert le plus souvent de manière fortuite lors d’un examen (échographie, scanner) réalisé pour une autre raison médicale. L’évolution naturelle d’un anévrisme est sa progression avec une augmentation de taille variable selon les individus. L’anévrisme est soit fusiforme soit sacculaire (en forme de sac). C’est dans l’aorte abdominale en dessous des reins que les anévrismes sont les plus fréquents.
Le meilleur facteur prédictif de rupture connu actuellement est le diamètre maximal de l’anévrisme. Plus l’AAA est volumineux plus il a de risques de se rompre. Cette rupture d’anévrisme peut entraîner jusqu’à 85 % de mortalité. En cas de rupture, 50% des patients toujours en vie lors de leur transfert dans un hôpital décèdent. Ce risque de rupture est faible pour les petits AAA et augmente de manière significative à partir de 55mm de diamètre qui est considéré comme le diamètre à partir duquel l’anévrisme peut ou doit être pris en charge. Au-delà de 55 mm le taux de rupture est de 10% par an et augmente avec la taille pour atteindre 30% pour les AAA supérieurs à 7cm. Dans certaines conditions (anévrisme douloureux, anévrisme sacculaire, anévrisme dans la famille, patients de sexe féminin) les AAA doivent être traités à partir de 50 mm.
L’AAA pose donc le problème de son dépistage et de son traitement préventif. La prévalence (cas présents dans la population) des AAA est de l’ordre de 4% chez les hommes à partir de 65 ans et monte jusqu’à 7,5% après 75 ans. Cette prévalence serait en augmentation ces dernières années. Sous l’égide de l’Aneurysmal Pathology Foundation (APF), le CHU du Sart Tilman (service de chirurgie cardiovasculaire), en partenariat avec la Province de Liège et les communes de Chaudfontaine, Sprimont et Esneux a été à l’initiative d’un dépistage régional de l’AAA dans la population âgée de plus de 65 ans. (https://www.rtbf.be/info/regions/liege/detail_esneux-depistage-d-un-tueur-silencieux-l-anevrisme-de-l-aorte-abdominale?id=9894605)
Les facteurs de risque reconnus d’un AAA sont le sexe masculin, le tabagisme, l’hypertension, le taux trop élevé de cholestérol et les antécédents familiaux (on parle d’anévrisme « familial »). Les hommes ont quatre fois plus d’AAA que les femmes. Sans rentrer dans les détails, plusieurs phénomènes (biochimiques et mécaniques) sont à l’origine de la « fragilisation » de la paroi de l’aorte abdominale conduisant progressivement à sa dilatation.
La détection ciblée des AAA est recommandée chez les hommes de 65 à 75 ans fumeurs. L’échographie abdominale est l’examen de choix. Lorsqu’un AAA est détecté et que sa taille est importante, l’examen le plus utile pour bien analyser la morphologie de l’anévrisme aortique est un scanner abdominal avec injection de produit de contraste (angio-scanner). Cet examen permet de bien voir les autres artères et en particulier de mesurer la distance qui existe entre les artères rénales et l’anévrisme.

Un bilan cardiovasculaire doit toujours être réalisé dans le même temps, en particulier à la recherche d’une maladie coronarienne (artères du cœur) qui est très fréquemment associée aux AAA.
Lorsque le diagnostic d’AAA de taille significative est avéré et que l’état général du patient est satisfaisant, une intervention chirurgicale doit être proposée. Dans 60% des cas, un traitement endovasculaire est réalisable. Ce traitement endovasculaire consiste à exclure l’AAA par une endoprothèse qui est introduite par les artères fémorales au travers de la peau ou via une très courte incision aux plis de l’aine. Cette endoprothèse est un tube bifurqué synthétique renforcé par des mailles métalliques (stents). L’endoprothèse est initialement repliée dans une gaine qui est positionnée correctement au niveau de l’aorte sous contrôle radioscopique (rayons X). Cette endoprothèse est ensuite libérée de sa gaine et déployée jusqu’au niveau des artères iliaques par une manipulation à l’extérieur du patient.

Bien que le traitement endovasculaire ait été proposé dès 1991 (Argentine, Dr Parodi), la réparation des AAA par traitement endovasculaire a connu ces dernières années des progrès au niveau de la technique et des matériels utilisés qui sont actuellement davantage fiables.
Ce traitement endovasculaire s’est imposé comme le traitement de référence y compris pour les patients en bon état général. La pose d’une endoprothèse peut être réalisée sous anesthésie loco-régionale ou sous anesthésie locale associée à une sédation. L’hospitalisation peut être de très courte durée n’excédant pas, sauf exception, deux ou trois jours. Un contrôle par scanner est nécessaire à la sortie de l’hôpital ainsi que chaque année afin de s’assurer de la bonne position de l’endoprothèse et de l’arrêt de la croissance de l’AAA. Cet examen permet aussi de voir s’il n’existe pas de fuite au pourtour ou à proximité de l’endoprothèse (on parle d’endofuite).
Ce traitement endovasculaire, en apparence « simple » et moins lourd pour le patient, nécessite néanmoins une expertise confirmée des chirurgiens pratiquant cette technique. C’est la raison pour laquelle il ne peut être réalisé raisonnablement que dans un centre spécialisé de longue date et reconnu par l’INAMI.
Plus de 75 procédures de mise en place d’endoprothèse par an (en moyenne) sont réalisées par le service de chirurgie cardiovasculaire du CHU Sart-Tilman depuis de nombreuses années et plus de 600 patients ont déjà été traités par cette technique et par notre équipe sur la période 2012-2021 avec des résultats encourageants.
Dans 40 % des cas néanmoins, il n’est pas possible de proposer la technique endovasculaire pour des raisons d’aspect, de forme et de mensurations de l’aorte et des artères qui en dépendent. Dans ces conditions, une chirurgie de l’AAA est réalisée sous anesthésie générale par laparotomie (ouverture de l’abdomen) avec remplacement de l’aorte par une prothèse synthétique. Cette chirurgie plus lourde pour le patient peut entraîner jusqu’à 4% de mortalité opératoire soit 2 X plus que le traitement endovasculaire. La durée d’hospitalisation est forcément plus longue (+/- 10 jours) avec un séjour aux soins intensifs de 48 h en moyenne.

Cette chirurgie dite « ouverte » nécessite aussi une bonne expertise chirurgicale afin de pouvoir faire face aux difficultés que l’on peut parfois rencontrer chez certains patients à risques. Un système de récupération du sang aspiré avec autotransfusion est employé pour ce type de chirurgie (cell saver) et son utilisation est assurée par des infirmiers spécialisés en « perfusion » sous contrôle et en collaboration avec l’équipe chirurgicale et anesthésiste.
Depuis l’ouverture du CHU Sart-Tilman, soit depuis 1987, l’équipe chirurgicale a opéré plus de 2000 patients d’AAA par chirurgie ouverte. Cette expertise chirurgicale s’est déroulée et se déroule toujours activement dans un contexte de réalisation de nombreuses études cliniques et de recherches sur les maladies anévrismales et dégénératives de l’aorte abdominale et thoracique par notre équipe chirurgicale pour apporter aux patients la prise en charge médico-chirurgicale la plus appropriée et la plus actuelle.
Quel que soit le traitement chirurgical, notre l’équipe du CHU Sart-Tilman est à la disposition des patients et de leur médecin référent pour leur exposer les risques et les bénéfices opératoires attendus en présence d’un AAA.
Maladie des vaisseaux du cou (artères carotidiennes)
Cause
La cause la plus fréquente d’une sténose (rétrécissement) carotidienne est l’athérosclérose (développement d’une plaque d’athérome qui se forme par dépôts de lipides).
Symptomatologie
Patient symptomatique
Une sténose carotidienne est considérée comme une des causes d’AVC (Accident Vasculaire Cérébral) ou AIT (Accident Ischémique Transitoire).
Ceci se manifeste par un déficit neurologique brutal : une paraplégie d’une jambe ou d’un bras, des difficultés à trouver la parole ou la perte de vue d’un œil.
Cette maladie devrait être traitée en urgence. Le patient sera hospitalisé via les urgences dans un “stroke unit” en neurologie. Si un problème carotidien est constaté, le neurologue discutera avec le chirurgien vasculaire et une opération aura lieu dans les deux semaines.
Patient asymptomatique
Une sténose carotidienne pourrait être également asymptomatique et découverte de manière fortuite. Il y a peut-être un souffle dans le cou ou un examen est demandé parce qu’il y a des facteurs de risques ou un autre problème cardiovasculaire. Dans ce cas, une opération aura uniquement lieu si la sténose est très sévère et que le chirurgien juge qu’il y a un risque de faire un AVC. Même si le chirurgien juge qu’une opération n’est pas encore nécessaire, il prescrira un anti-aggégant (aspirine) et une statine (anti-choléstérol) pour stabiliser la plaque.
Quel type d’examen ?
Echodoppler des vaisseaux du cou
Il s’agit d’un examen qui se fait en consultation avec du gel et une sonde d’échographie.
Angio-CT ou Angio-IRM des vaisseaux du cou
Lorsqu’un echodoppler conclut à une suspicion de sténose supérieure ou égale à 70%, il est nécessaire de procéder à un examen plus détaillé en radiologie
Quel type d’intervention ?
Une sténose carotidienne pourrait être traitée par chirurgie ouverte ou par chirurgie endovasculaire (stent).
Chirurgie ouverte
Une chirurgie ouverte nécessite une anesthésie générale. Elle pourrait être réalisée sous anesthésie locale, mais aucune étude n’a démontré d’avantage à ce mode d’anesthésie dès lors notre institution n’y a pas recours pour cette indication.
Durant l’intervention, l’activité neurologique sera monitorisée.
Une incision est faite dans le cou et les vaisseaux carotidiens sont disséqués.
De l’héparine (liquéfiant le sang) est admise avant de clamper les artères.
L’artère sera ouverte, la plaque sera enlevée (endartériectomie) et la fermeture se fait par un patch prothétique.
Immédiatement après l’ouverture des artères, une déviation (shunt) temporaire sera positionnée afin de garantir le flux cérébral.
L’incision sera fermée sur un petit drain qui sera enlevé le lendemain.
Traitement endovasculaire
Selon des études internationales, le traitement endovasculaire devrait être choisi uniquement chez les patients qui présentent trop de risques pour une chirurgie ouverte ou pour une anesthésie générale (suite à examen ayant identifié un problème cardiaque ou respiratoire). Un autre argument pour le traitement endovasculaire est un “cou hostile”, c’est à dire un cou qui aurait déjà été opéré (par un chirurgien ORL par exemple) ou irradié.
Ce traitement consiste à positionner un stent à hauteur de la sténose pour la corriger. Elle est réalisée sous anesthésie locale par une ponction dans l’artère fémorale dans le creux inguinal.
Quels sont les risques d’une intervention?
Le but de l’intervention est de prévenir un AVC ou de prévenir une aggravation de la symptomatologie. Néanmoins, malgré toutes les précautions, il est possible que le patient fasse un AVC durant l’intervention, mais ce risque est bien entendu moins important que si nous laissions la sténose évoluer sans intervenir.
Pourrait-il également y avoir un problème cardiaque (un infarctus)?
Globalement, le risque de rencontrer un problème cardiaque ou un AVC ou de décéder durant ou tout de suite après l’opération est inférieur à 3% pour un patient asymptomatique ou en dessous de 6% pour un patient symptomatique.
Après l’opération?
Le patient passera la nuit dans le salle de réveil (USPA) ou la tension artérielle et l’état neurologique seront surveillés.
Le lendemain, le drain sera enlevé et le patient retournera dans sa chambre.
Pour les patients asymptomatiques, le retour à la maison sera prévu le surlendemain.
Les patients symptomatiques retourneront dans le service de neurologie ou le bilan sera complété. En fonction de l’état du patient, le retour sera prévu à la maison ou dans un centre de revalidation.
Le suivi?
Une consultation en chirurgie vasculaire sera prévue 6 semaines après l’intervention.
Ensuite, un suivi annuel par votre chirurgien qui réalisera un écho-doppler de contrôle, sera planifié.
Maladie des artères des membres inférieurs
Cause
La cause la plus fréquente d’une sténose (rétrécissement) ou d’une occlusion d’une ou plusieurs artères des membres inférieurs est l’athérosclérose (développement d’une plaque d’athérome dans la paroi artérielle qui se forme par dépôts de lipides), elle est favorisée par le tabac, l’hypertension artérielle, l’hypercholestérolémie, le diabète et la sédentarité.
Symptomatologie
Maladie aigüe (d’apparition brutale)
Une occlusion aigüe d’une artère des membres inférieurs se manifeste par une douleur soudaine, sévère avec pâleur et/ou marbrures du membre. Dans les cas les plus graves, une paralysie peut apparaître.
Maladie chronique
Quand la maladie évolue progressivement, des artères collatérales se développent. Elles compensent la maladie qui peut rester asymptomatique.
Quand la maladie s’accentue une douleur musculaire crampoïde apparaît systématiquement lors d’un effort comme la marche. Cette douleur oblige le patient à s’arrêter. C’est la claudication intermittente des membres inférieurs.
Quand la maladie est très sévère, les membres font mal en permanence, même la nuit où la douleur réveille le patient. Des plaies et des nécroses peuvent survenir et s’infecter, c’est la gangrène.
Quel type d’examen ?
La mesure de la pression artérielle systolique aux chevilles
Elle permet de calculer l’index cheville-bras qui est le rapport de la pression artérielle systolique de la cheville divisée par celle du bras. Cet index est normalement égal à 1.
Echo-doppler artériel des membres inférieurs
Ceci est un examen qui se fait à la consultation avec du gel et une sonde d’échographie.
Angio-scanner ou Angio-IRM des membres inférieurs
Si l’index cheville-bras ou si l’écho-doppler montrent une maladie artérielle, un examen radiologique plus détaillé sera nécessaire. Il s’agit soit de l’angioscanner, soit de l’angio-IRM.
Quel type d’intervention ?
En l’absence de symptômes et pour la claudication intermittente, le traitement n’est pas chirurgical. Il faut arrêter de fumer, faire de la rééducation à la marche et traiter les facteurs favorisants (hypertension artérielle, hypercholestérolémie et diabète).
Si le traitement conservateur médical ne suffit pas à améliorer la claudication, une intervention endovasculaire peut être envisagée.
En cas de maladie grave avec douleurs au repos et plaies chroniques aux jambes, des traitements endovasculaires et/ou chirurgicaux sont indiqués.
Traitement endovasculaire
Par une ponction à travers la peau, des fils guides sont introduits dans les vaisseaux et conduits jusqu’aux lésions vasculaires. Ils servent à porter des ballons et/ou des stents qui vont, une fois déployés, rétablir le flux de sang. Ceux-ci peuvent être enduits d’un médicament cytotoxique qui améliore leur efficacité au long cours. Tout cela est le plus souvent réalisé sous anesthésie locale.
Traitement chirurgical
Différents types de traitements chirurgicaux sont possibles : endartériectomie, pontage avec une veine ou pontage avec une prothèse.
L’endartériectomie correspond à un véritable nettoyage de l’artère. Cette dernière est ouverte dans le sens de la longueur, vidée de son contenu athérosclérotique et refermée à l’aide d’un patch d’élargissement (bandelette synthétique ou veineuse).
Le pontage correspond à la réalisation d’un détournement du flux sanguin via un pont partant en amont de la zone malade et se terminant en aval. Il peut être fait soit avec une prothèse (vaisseau synthétique en dacron ou en PTFE), soit avec une veine du patient, le plus souvent une veine saphène interne. Le pontage prothétique est préféré pour l’étage aorto-iliaque et le pontage veineux pour l’étage fémoro-poplitéo-jambier.
Une anesthésie locorégionale ou générale est nécessaire.
Quels sont les risques d’une intervention?
Toute intervention peut se compliquer d’hémorragie ou d’infection.
Il peut y avoir un échec de la revascularisation, avec persistance de la claudication et pour les cas graves une amputation du membre est possible.
Plus rarement des blessures de nerfs périphériques ou vaisseaux lymphatiques peuvent survenir.
Un infarctus myocardique peut se produire, d’où l’importance de contrôler son cœur (évaluation cardiovasculaire) avant.
Après l’opération?
Pour une intervention endovasculaire, il peut y avoir un pansement compressif au niveau du point de ponction artérielle. Il reste habituellement 4h. Il faut rester couché jusqu’au lendemain puis le patient peut rentrer chez lui.
Pour une chirurgie, le patient va en salle de réveil avec un ou des redons (tuyaux au site opératoire qui récoltent les sécrétions liées à l’intervention), et reste quelques jours à l’hôpital pour surveiller ses cicatrices.
Le suivi?
Un contrôle régulier en consultation de chirurgie vasculaire est nécessaire pour prévenir la récidive. Le premier rendez-vous a lieu après 1 mois. Ensuite après 3, 6 ou 12 mois selon les cas.






